દિયા લેબોરેટરી માંજલપુર વિસ્તારમાં વર્ષ ૨૦૦૬ થી કાર્યરત છે. સામાન્ય લેબોરેટરી રીપોર્ટની સાથે ગર્ભાશય કેન્સર નિદાન (પેપ સ્મીયર ટેસ્ટ) માં કુશળતા ધરાવતા શ્રી અનિલભાઇ પટેલ, ટાટા મેમોરીયલ હોસ્પીટલ, મૂંબઈમાં ટ્રેનીંગ બાદ છેલ્લા ૨૩ વર્ષોથી બરોડા કિલનીકલ લેબ, દાંડીયા બજારમાં પણ આ વિષયમાં સેવા આપે છે.
ભણાવવું અને લોકોને તૈયાર કરી મેડીકલ પ્રોફેશનમાં સ્ટાફ આપવાની સાથે રોજગાર અપાવવું એવા ઉદેશને સાર્થક કરવા પેરા મેડિકલ ક્ષેત્રે લેબોરેટરી અને ભારત સરકારના માનવ સંશાધન વિકાસ મંત્રાલય દ્રારા સંચાલિત જન શિક્ષણ સંસ્થાન, વડોદરાના સહયોગ વડે વિધાર્થીઓને ટ્રેનીંગ આપવામાં આવે છે.
ટ્રેનીંગના એક ભાગ તરીકે વડોદરા અને આજુબાજુના વિસ્તારોમાં (ડાયાબીટીસ, ગર્ભાશયકેન્સર નિદાન, બ્લડ ગ્રુપ તેમજ અન્ય રોગોના) ફ્રિ-.ચેક અપ આયોજન દ્રારા સમાજના આર્થિક રીતે નબળા લોકોને મદદ તેમજ રોગ વિશે અજ્ઞાન ધરાવતા લોકોને જ્ઞાન આપવાનો આ પ્રયાસ થઇ રહ્યો છે.
જીવનના પાછલા વર્ષોમાં જયારે આવકનો સ્ત્રોત બંધ થઇ જાય છે ત્યારે ખાસ કરીને ગામડાના લોકો સમય અને પૈસાના અભાવે ઘણા રોગોથી પીડાતા હોય એ સમાજની વિટંબણા છે. આવા લોકોને ઉપયોગી થવાના આશયે દર મહીને જુદી જુદી જગ્યાએ ગામડાઓમાં અન્ય સમાજ સેવા કરતી સંસ્થાના સહયોગ વડે ફ્રી કેમ્પ દ્રારા દર મહીને ૧૦૦-૨૦૦ દર્દીઓ તપાસતા વર્ષેના અંતે ૧૫૦૦ થી ૨૦૦૦ જેટલા દર્દીઓ વિના મુલ્યે તપાસવામાં આવે છે. આવા દર્દીઓને રોગના નિદાન સાથે રોગ વિષે જાણકારી આપવામાં આવે છે. આર્થિક રીતે નબળા અને રોગ વિશે અજાણ લોકોને આ રીતે મદદરૂપ થવાનો આ પ્રયાસ થઇ રહ્યો છે.
આવનારા ભવિષ્યમાં ગામડાઓમાં જઈ મોબાઈલ વેન લેબોરેટરી ઘ્વારા ડાયાબિટીસ અને બ્લડ પ્રેશર જેવા રોગોની તપાસ દર્દીના ઘર આંગણે થાય એ દિશામાં અમો કાર્યરત છીએ.
અમે સૌ અમારી પાસે આવેલા દર્દીઓને સાચો ન્યાય આપવા હંમેશા જ્ઞાન અને તકનીકી ટ્રેનીંગ વડે નવું શીખવાના અભિગમ ધ્વારા લાયક બનીએ એજ અભ્યર્થના..
પ્રોપરાઇટર, દિયા લેબોરેટરી, માંજલપુર, વડોદરા.
આપણા દેશમાં ગર્ભાશયના કેન્સરના દર્દીઓ સૌથી વધારે જોવા મળે છે. દર વર્ષે એક લાખ નવા દર્દીઓમાં કેન્સરનું નિદાન થાય છે. (ટાટા મેમોરીયલ હોસ્પીટલ, મુંબઈ) જો કે સ્તન કેન્સરના દર્દીઓમાં પણ છેલ્લા દશ વર્ષમાં વધારો થયો છે. જેના કારણોમાં આપણી આધુનિક જીવન શૈલી પણ હોઇ શકે છે.
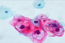
ગભાર્શયનું કેન્સર મટી શકે છે, જો તેનું સમયસર નિદાન થાય અને યોગ્ય સારવાર મળે તો. ગભાર્શયના કેન્સરનું નિદાન પેપ સ્મીયર ટેસ્ટ દ્રારા થાય છે.
ગર્ભાશયના મુખ (Cervix) અને મોઢા (Oral Cavity) ના કેન્સરનું નિદાન પેપ સ્મીયર ટેસ્ટ દ્વારા કરવામાં આવે છે. આ તપાસમાં ગર્ભાશયના મુખના ભાગ પર ચાંદુ પડેલ હોય ત્યાં Disposable Kits થી Cells (કોષીકાઓ) લેવામાં આવે છે અને આ કોષીકાઓ સ્લાઇડ ઉપર લઇ સાયટોલોજી લેબમાં મોકલવામાં આવે છે. જ્યાં કોષમાં થયેલા ફેરફારને ઘ્યાનમાં લઇ કેન્સર, કેન્સર થતા પૂર્વના ચિન્હો (Low grade Cancer), ઇન્ફેકશન (ચેપ) તેમજ મેનોપોઝ અને પેરીમેનોપોઝની અવસ્થાનું નિદાન થઇ શકે છે. આ તપાસમાં બેભાન કરવાની કે વાઢકાપ કરવાની જરૂર નથી. માત્ર ૧૦ મીનીટના સમયમાં આપ આ તપાસ કરાવી શકો છો. અનુભવી નિષ્ણાંત સાયટોલોજીસ્ટ કે સ્ત્રી રોગ નિષ્ણાંત ડોકટર આ તપાસ માટે સેમ્પલ લઇ શકે છે.
*** Please submit your request. We will call you soon to arrange a home visit for blood collection.
* Note: This facility is available within city limits of Baroda and subject to availability of collection staff.